Meloidogyne graminicola is responsible for production losses in rice (Oryza sativa) in Asia and Latin America. Petitot et al. assess the cytological and molecular mechanisms underlying nematode resistance identified in African rice (Oryza glaberrima).

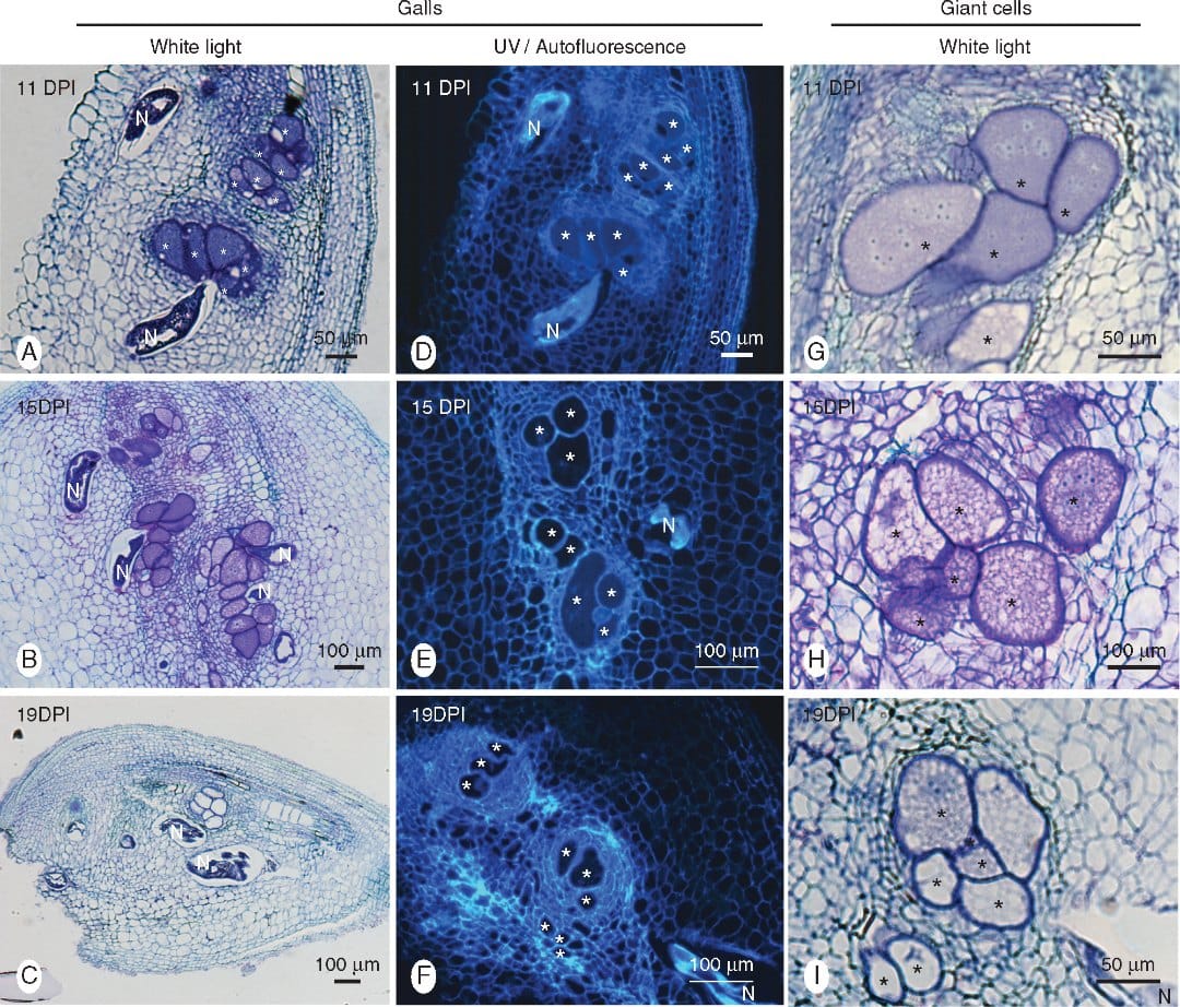
Histological analysis of galls induced by Meloidogyne graminicola in resistant rice (Oryza glaberrima TOG5681) roots.
Histological analysis of galls induced by Meloidogyne graminicola in resistant rice (Oryza glaberrima TOG5681) roots. Gall cross-sections (10 µm) obtained at 11, 15 and 19 dpi were observed under UV light (middle panel) or were stained with toluidine blue and observed with white light (left and right panels). (A, B, C) Multiple nematode feeding on giant cells within the same gall. Note degraded nematode bodies and empty giant cells at 19 dpi (C). (D, E, F) Autofluorescence of sectioned galls. Note the absence of fluorescence accumulation around giant cells and nematodes. (G, H, I) Time course of giant cell degradation. (G) 11 dpi: dense cytoplasm and a large number of nuclei encircled by numerous neighbouring parenchymatic cells. (H) 15 dpi: vacuolated cytoplasm. (I) 19 dpi: degraded, devoid of cytoplasm and nuclei. Asterisk, giant cell; N, nematode.

Rice resistance responses act at several steps along the nematode life-cycle to limit penetration and feeding site development, preventing efficient nematode reproduction. This study provides a novel set of candidate genes for O. glaberrima resistance to nematodes.

This paper is part of the Annals of Botany Special Issue on Plant Immunity. It will be free access till June 2017 and after April 2018.