Since the beginning of the study of life, there has always been an interest in classifying organisms in different ways. For plants, one could think of many criteria, such as morphological characteristics, our use of them and the environments in which they are found. However, biologists are interested not only in classifying organisms but also in understanding how they may be evolutionarily related. To achieve this, information from morphology or, most recently, data from DNA, RNA or proteins has been used. There are several reasons why some biologists have preferred to use molecular data. Arguably, one of the most important is that some morphological characteristics may look quite alike, but this does not necessarily imply that they originate from a common ancestor; they may result from entirely independent evolutionary processes. However, as DNA carries with it not only the information of an organism but also its past, molecular phylogenies are very useful for establishing more precise relationships between organisms.
A clear example of this is the family Elatinaceae, which, for a long time, was unclear to which other group of plants it might be most closely related. Initially, some researchers claimed that this family was closely related to Caryophyllaceae –the carnation family– because of its small flowers and tiny seeds. Others suggested, based on anatomical, palynological and embryological evidence, that it was closely related to Frankeniaceaeand Tamaricaceae. Later, other authors pointed out that the family was closely related to Clusiaceae –the mangosteen family– which was later corroborated by molecular studies. This positioned Elatinaceae as a member of the order Malpighiales, an order that has a little bit of everything: from the rubber tree (Hevea brasiliensis) and passion fruit (Passiflora edulis) to the small-flowered violets (Viola spp.) and Rafflesia arnoldii–the plant with the record for the world’s largest flower.
However, the evolutionary relationships of Elatinaceae to the other families within Malpighiales remained uncertain until another molecular phylogenetic study convincingly determined that Elatinaceae is sister to Malpighiaceae. This finding was shocking, considering these two families’ vast differences: while Elatinaceae is a cosmopolitan family of small, terrestrial, aquatic or amphibious species with small, inconspicuous flowers, Malpighiaceae is a mainly tropical American family of lianas and trees with showy, usually yellow, orange or pink flowers.

Interestingly, combining molecular phylogeny data with morphological information has proven valuable for understanding similarities between families that seem strikingly different on the surface. For instance, a detailed exploration of flower anatomy has been remarkably useful in understanding better the relationship between some families of the order Malpighiales. For example, flowers of the sister families Rhizophoraceae and Erythroxylaceae have nectar-producing tubes in the stamens and a layer of cells called idioblasts in the sepals and ovaries. Similar studies have also identified that the sister families Chrysobalanaceae and Euphroniaceae also share floral characteristics, such as mucilage-producing cells in the sepals and a lobed nectary. However, until very recently, there was no study addressing the floral anatomy of Elatinaceae, and there was no way of knowing whether any floral characteristics were shared with its sister family, Malpighiaceae.
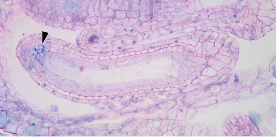
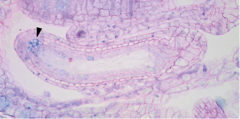
With this in mind, Dr Stéphanie Bonifácio and colleagues conducted the first floral anatomy study of the family Elatinaceae, analysing four species of its two genera, Bergia and Elatine. The authors performed a comprehensive analysis of the floral characteristics of Elatinaceae and compared them with those reported for Malpighiaceae based on the available literature on Malpighiales families. After reviewing all these traits, the authors were able to find two morphological characters that are shared by Elatinaceae and Malpighiaceae. The first was the presence of secretory structures in the anther connective, the tissue that connects the pollen-producing structures of the flower. This novelty for Elatinaceae has not been reported so far in any other study on the family.

On the other hand, the authors identified that the ovules of the flowers showed hypostase, a tissue differentiated from the surrounding cells to the tissue that nourishes the seeds during their development. Such structures are not present in all plant families, so the fact that they are present in these two sister families indicates that, despite their notable morphological differences, traces of their parentage still remain.

Besides discovering structures shared by these families, the researchers made some revealing observations. They noticed a low number of pollen grains and that the pollen started early germination inside the anthers. In addition, they identified the absence of nectar-producing structures and that, in the particular case of Elatine gratioloides, the male and female structures were not separated as in most plants, but were fused into a single structure. These features led Bonifácio and colleagues to infer the limited ability of Elatinaceae flowers to attract pollinators, suggesting the possibility of autogamy in this family, in other words, the ability to self-fertilise without relying on pollen from other flowers.
In contrast to Elatinaceae, the flowers of its sister family, Malpighiaceae, have striking characteristics for insects, encouraging pollen transfer between other flowers, even from different individuals. These differences highlight the fascinating variety of evolutionary mechanisms plants have evolved to ensure their reproductive success in diverse environments.
For example, Malpighiaceae was influenced by a mutualistic relationship with oil-collecting bees, favouring allogamy and generating pollinator dependence. On the other hand, in Elatinaceae, the trend is the opposite: flowers tend not to depend on external pollinators and resort to autogamy as a reproductive strategy. This strategy may have arisen to ensure reproduction and establishment in contexts where the availability of external pollinators may be limited.
Exploring floral characters in these two sibling families, where diverse sexual reproductive strategies account for notable morphological divergences, highlights the diversity of evolutionary mechanisms that have emerged in response to different selective pressures. These findings emphasise the importance of comparative anatomical analyses focusing on phylogenetic relationships, not only to propose evolutionary hypotheses but also to gain a deeper understanding of the processes that have shaped plant diversity.
READ THE ARTICLE:
Bonifácio, S.K.V., Amorim, A.M. & Oliveira, D.M.T. Floral anatomy points to autogamy as a possible evolutionary path in Elatinaceae (Malpighiales). Plant Syst Evol309, 34 (2023). https://doi.org/10.1007/s00606-023-01872-0

Anderson Alvarado
Anderson is a biologist interested in floral development and anatomy, mainly in the family Leguminosae. He is currently studying floral ontogeny processes in lineages with non-papillionate flowers within the early diverging Papilionoideae (Fabaceae).
Spanish and Portuguese translation by Anderson Alvarado.
Cover Image by Julia Kruse, Wikicommons.
